ΑΣΤΥΝΟΜΙΚΟ ΔΕΛΤΙΟ
Ε - ΑΤΡΙΚΑ
Αθλητικά Νέα
ΤΕΧΝΟΛΟΓΙΚΑ ΝΕΑ
Κάτι τρέχει στον Έβρο
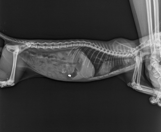
Η ακτινογραφία έκρυβε μια πολύ δυσάρεστη έκπληξη: Βλήμα από όπλο!
Πυροβόλησαν και σκότωσαν γατάκι στην Αλεξανδρούπολη!
09-10-2024
Αποτροπιασμό προκαλεί το νέο περιστατικό κακοποίησης ζώου στην Άνθεια Αλεξανδρούπολης που αφορά σε ένα μικρό γατάκι που βρέθηκε πυροβολημένο.
Την απάνθρωπη αυτή είδηση έκανε γνωστή πριν λίγες ώρες το Καταφύγιο Αδέσποτων Ζώων Συντροφιάς Δήμου Αλεξανδρούπολης, μέσω ανάρτησης στο Facebook, σύμφωνα με την οποία το γατάκι βρέθηκε χτυπημένο σε κεντρικό σημείο της πόλης.
Το άτυχο ζώο παρά το γεγονός ότι μεταφέρθηκε σε κτηνίατρο κατέληξε.Την υπόθεση θα ερευνήσει η Αστυνομική Διεύθυνση Αλεξανδρούπολη μετά την καταγγελία που υπέβαλαν οι υπεύθυνοι του Καταφυγίου.
Αναλυτικότερα η ανάρτηση αναφέρει:
Τραγικό; Άθλιο; Συγκλονιστικό; Αποτρόπαιο; Οι λέξεις έχουν χάσει πλέον τη σημασία τους. Νεαρό γατάκι, εντός της Αλεξανδρούπολης, προσκομίστηκε στο κτηνιατρείο επειδή τις τελευταίες μέρες δεν είχε διάθεση για φαγητό και ήταν υποτονικό. Η ακτινογραφία έκρυβε μια πολύ δυσάρεστη έκπληξη: Βλήμα από όπλο! Δυστυχώς, το μπιζουδάκι κατέληξε.
Αύριο θα γίνει νεκροψία - νεκροτομή και καταγγελία στο ΑΤ Αλεξανδρούπολης για τα περαιτέρω.
σαν σημερα
- Μαθήτρια από τον Έβρο στον Παγκόσμιο Διαγωνισμό Microsoft Office Specialist
(23-04-2025) - Παρεμβάσεις σε σχολικές μονάδες της Αλεξανδρούπολης (videos)
(23-04-2025) - Προβολή ταινιών στο Λιμάνι της Αλεξανδρούπολης, με ελεύθερη είσοδο
(23-04-2025) - Γεράκια θα διώξουν τα περιστέρια από την πλατεία της Ξάνθης
(23-04-2025) - Μεγάλος σεισμός κοντά στην Κωνσταντινούπολη - Τρομοκρατήθηκε ο πληθυσμός (videos)
(23-04-2025)
Ο ΚΑΙΡΟΣ ΣΤΟΝ ΕΒΡΟ
EN
TR






